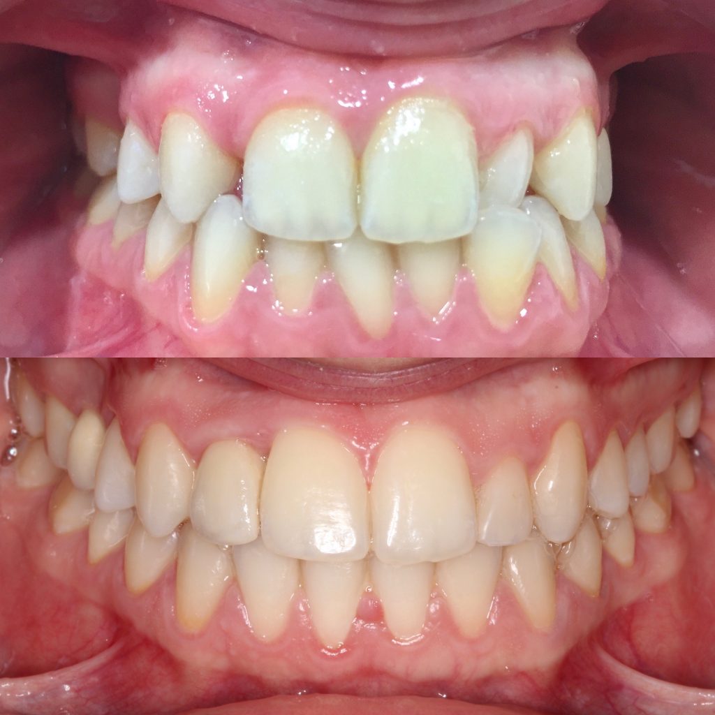
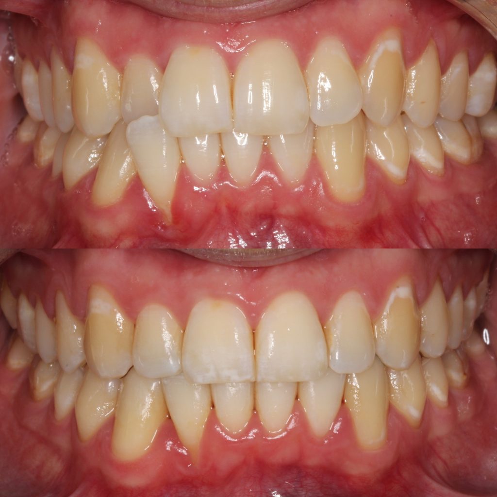
¡Hola de nuevo por aquí! Últimamente estoy recibiendo muchos pacientes que me preguntan por dolor de cabeza y mandibular. Estos pacientes han escuchado hablar sobre la opción del Botox como solución a su problema. Aquí va mi respuesta: debido al bruxismo, es posible que lleguemos a contracturar tanto nuestros músculos faciales que nos produzcan dolores…


















